
ÔÚÒ½ÁÆÓ°ÏñÖÊ¿ØÁìÓò£¬£¬£¬£¬£¬£¬£¬¾«×¼Êǽ¹µãËßÇ󣬣¬£¬£¬£¬£¬£¬¸ßЧÊÇʱ´úÐèÇ󣬣¬£¬£¬£¬£¬£¬¶øËãÁ¦±¾Ç®ÓëÊÖÒÕÂ䵨ÄÑÌ⣬£¬£¬£¬£¬£¬£¬Ê¼ÖÕÊÇÖÆÔ¼Ò½ÔºÓ°ÏñÖÊ¿ØÉý¼¶µÄÒªº¦Æ¿¾±¡£¡£¡£¡£¡£¡£¡£
ÎÞ¼«Ó°ÏñAIÖÊ¿ØÒ»Ìå»úͨ¹ý´îÔØ×ÔÖ÷Ñз¢µÄÒ½ÁÆÐÐÒµ´óÄ£×Ó£¬£¬£¬£¬£¬£¬£¬×¼È·ÐԿɵִﺣÄÚÖ÷Á÷70B¼¶Í¨ÓôóÄ£×Óˮƽ£¬£¬£¬£¬£¬£¬£¬ÊµÏÖÕûÌåÓ²¼þ°²Åű¾Ç®½öΪ¹Å°å70B´óÄ£×ÓЧÀÍÆ÷¼Æ»®µÄ1/4£¬£¬£¬£¬£¬£¬£¬ÔÚ¼á³Ö¸ß¾«¶ÈÕï¶ÏÄÜÁ¦µÄÌõ¼þÏ£¬£¬£¬£¬£¬£¬£¬´ó·ù½µµÍÒ½ÁÆ»ú¹¹¡¢Ï²㵥λÓëÐÐÒµÓû§µÄËãÁ¦Í¶Èë¡¢»ú·¿Ë¢ÐÂÓëÔËά±¾Ç®£¬£¬£¬£¬£¬£¬£¬ÎªÒ½ÔºÌṩһվʽ¡¢µÍ±¾Ç®¡¢¸ßЧÂʵÄÓ°ÏñÖʿؽâ¾ö¼Æ»®¡£¡£¡£¡£¡£¡£¡£
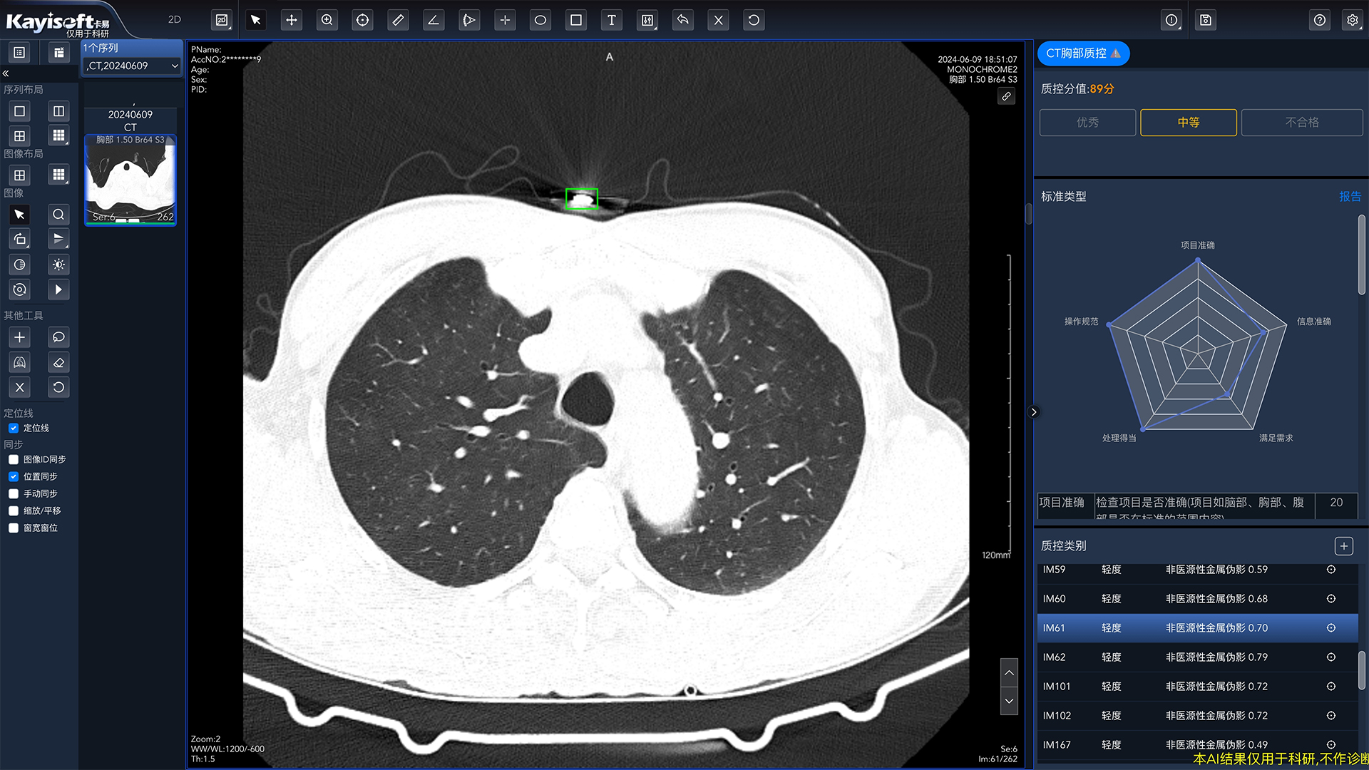
ȫά¶È±¨¸æÖÊ¿Ø
±¾AIÕï¶ÏÖʿغ¸Ç£º
´í±ð×Öʶ±ðУÑé
ÆÊ½â²¿Î»È±Ê§Ê¶±ð
Õï¶Ï½áÂÛÒÅ©¼ì²â
ÓïÑÔÂ߼ì¶Üʶ±ð
ÕÉÁ¿ÊýÖµ¹ýʧУÑé
Óï¹æÔò·¶¼ì²é
RADS·ÖÀàȱʧÌáÐÑ
»¼ÕßÐÔ±ð¹ýʧʶ±ð
×óÓÒ²à±êʶ¹ýʧʶ±ð
ͳ¼ÆÆÊÎö
Σ¼±ÖµÌáÐÑ
ȫά¶ÈÖʿع¦Ð§£¬£¬£¬£¬£¬£¬£¬È·±£±¨¸æ×¼È·¡¢¹æ·¶¡¢ÍêÕû¡£¡£¡£¡£¡£¡£¡£

´í±ð×Öʶ±ðУÑé

»¼ÕßÐÔ±ðʶ±ð¹ýʧ

ÕÉÁ¿ÊýÖµ¹ýʧУÑé

Õï¶Ï½áÂÛÒÅ©ÌáÐÑ

ÆÊ½â²¿Î»È±Ê§Ê¶±ð

×óÓÒ²à±êʶ¹ýʧ
ΪÌùºÏÒ½ÔºÏÖʵÔËÓªÐèÇ󣬣¬£¬£¬£¬£¬£¬ÎÞ¼«Ó°ÏñAIÖÊ¿ØÒ»Ìå»úÔÚ¼æÈÝÐÔÓë±ã½ÝÐÔÉÏʵÏÖÖÜÈ«Éý¼¶¡£¡£¡£¡£¡£¡£¡£×°±¸Ö§³ÖµÚÈý·½PACS/RISϵͳ¼¯³É£¬£¬£¬£¬£¬£¬£¬¿ÉÎÞ·ì¶Ô½ÓÒ½ÔºÏÖÓÐÓ°ÏñÖÎÀíϵͳ£¬£¬£¬£¬£¬£¬£¬ÎÞÐè´ó¹æÄ£Ë¢Ð£¬£¬£¬£¬£¬£¬£¬¿ìËÙÍê³ÉÂ䵨ӦÓ㬣¬£¬£¬£¬£¬£¬½µµÍÒ½Ôº°²Åű¾Ç®Óëѧϰ±¾Ç®¡£¡£¡£¡£¡£¡£¡£


AI Ó°ÏñÊÖÒÕÖʿأºÊµÏÖÓ°Ïñ¼ì²éÊÖÒÕÖÊÁ¿µÄÖÇÄÜ»¯¡¢Í¬ÖÊ»¯¹Ü¿Ø£¬£¬£¬£¬£¬£¬£¬Í¨¹ýÀ×´ïͼ¶àά¶Èչʾ·ÖÏîÆÀ·ÖЧ¹û£¬£¬£¬£¬£¬£¬£¬Ò»¼üÌìÉú²¢µ¼³ö±ê×¼»¯Öʿر¨¸æ¡£¡£¡£¡£¡£¡£¡£
Ó°ÏñÖÇÄÜÊý¾Ý±êעƽ̨£ºÓÅ»¯Êý¾Ý±êעЧÂÊÓëÖÊÁ¿£¬£¬£¬£¬£¬£¬£¬¼ÓËÙ¿ÆÑÐЧ¹ûת»¯£¬£¬£¬£¬£¬£¬£¬Íƶ¯Ò½Ñ§Ó°ÏñÁìÓòµÄÊÖÒÕÁ¢ÒìÓëÉú³¤¡£¡£¡£¡£¡£¡£¡£
CT·Î½á½Ú¸¨Öú¼ì²â£ºÒÀÍÐ AI ÊÖÒÕʵÏַνá½ÚÖÇÄܼì²â£¬£¬£¬£¬£¬£¬£¬¿ÉÔÚÁÙ´²ÖпìËÙ·¢Ã÷²¡Ôî¡¢¾«×¼ÆÀ¹À²¡ÔîÌØÕ÷£¬£¬£¬£¬£¬£¬£¬Îª·Î²¿¼²²¡µÄÔçÆÚɸ²éÓëÕï¶ÏÌṩÓÐÁ¦Ö§³Ö£¬£¬£¬£¬£¬£¬£¬Ïà¹Ø²úÆ·ÒÑ»ñµÃÈýÀàÒ½ÁÆÆ÷еע²áÖ¤¡£¡£¡£¡£¡£¡£¡£
Ó°Ïñ֪ʶ¿â£º¼¯³ÉÁË´ó×ÚҽѧӰÏñÊý¾ÝºÍÏà¹ØÖªÊ¶µÄÖÇÄÜϵͳ£¬£¬£¬£¬£¬£¬£¬Ö¼ÔÚΪҽÁÆ×¨ÒµÖ°Ô±ÌṩÖÜÈ«¡¢ÉîÈëµÄÓ°Ïñѧ֪ʶºÍÊÖÒÕÖ§³Ö¡£¡£¡£¡£¡£¡£¡£
ÖÇÄÜÓïÒô¼È룺ҽÉúÔÚΪ»¼Õß¾ÙÐмì²éʱ£¬£¬£¬£¬£¬£¬£¬¿ÉÖ±½Ó½«Ó°ÏñËù¼ûÄÚÈݾÙÐмÒô£¬£¬£¬£¬£¬£¬£¬ÔÚ¾ÙÐб¨¸æÌÜдʱҽÉú¿ÉŲÓúÍʶ±ð¼ÒôÄÚÈÝ»òÖ±½Óͨ¹ýÓïÒôÌÜд±¨¸æ£¬£¬£¬£¬£¬£¬£¬´Ó¶øÊµÏÖ¸¨ÖúÒ½Éú¿ìËÙÍê³É±¨¸æÌÜдµÄÄ¿µÄ¡£¡£¡£¡£¡£¡£¡£


ͨ¹ýÉî¶ÈѧϰËã·¨£¬£¬£¬£¬£¬£¬£¬AI Äܹ»¿ìËÙ´¦Öóͷ£º£Á¿Ó°ÏñÊý¾Ý£¬£¬£¬£¬£¬£¬£¬ÊµÏÖ²¡ÔîµÄ¾«×¼Ê¶±ð¡¢·Ö¼¶Ó붨λ£»£»£»£»£»£»¸üÖ÷ÒªµÄÊÇ£¬£¬£¬£¬£¬£¬£¬AI ÖÊ¿ØÊÖÒÕÄܹ»¹¹½¨±ê×¼»¯¡¢×Ô¶¯»¯µÄÖÊ¿ØÏµÍ³£¬£¬£¬£¬£¬£¬£¬´ÓÓ°ÏñÊÕÂÞ¡¢´«Êäµ½Õï¶Ï±¨¸æÌìÉú£¬£¬£¬£¬£¬£¬£¬È«Á÷³Ì°Ñ¿ØÖÊÁ¿£¬£¬£¬£¬£¬£¬£¬ÕâÖÖ¡°ÊÖÒÕ¸³ÄÜ + ±ê׼ͳһ¡± µÄģʽ£¬£¬£¬£¬£¬£¬£¬¼ÈÌî²¹ÁËϲãÈ˲ŵĶ̰壬£¬£¬£¬£¬£¬£¬ÓÖÂòͨÁËÓÅÖÊÒ½ÁÆ×ÊԴϳÁµÄͨµÀ¡£¡£¡£¡£¡£¡£¡£
δÀ´£¬£¬£¬£¬£¬£¬£¬ÐÇ¿ÕÓéÀÖ-ÃÎÏëÕÕ½øÏÖʵ,ŬÁ¦³É¾ÍδÀ´!½«Ò»Á¬Éî¸ûÒ½ÁÆAIÁìÓò£¬£¬£¬£¬£¬£¬£¬ÒÔÊÖÒÕÁ¢ÒìÍÆ¶¯Ò½ÁÆÓ°ÏñÖÊ¿ØÉý¼¶£¬£¬£¬£¬£¬£¬£¬ÖúÁ¦Ò½ÁÆ»ú¹¹ÌáÉýÕï¶ÏˮƽÓë¿ÆÑÐÄÜÁ¦£¬£¬£¬£¬£¬£¬£¬ÎªÈ«Ãñ¿µ½¡ÊÂҵТ˳AIʵÁ¦£¡