ÐÇ¿ÕÓéÀÖ-ÃÎÏëÕÕ½øÏÖʵ,Æð¾¢³É¼¨Î´À´!

ϲ±¨ | Õã½­ÐÇ¿ÕÓéÀÖ-ÃÎÏëÕÕ½øÏÖʵ,ŬÁ¦³É¾ÍδÀ´!¡°»ùÓÚÓ°ÏñÔÆµÄ·Î°©Ôçɸ¡±Êý¾Ý²úÆ·ÈÙ»ñ2023ÌìÏÂÈ˹¤ÖÇÄÜ´ó»á×î¼Ñ°¸Àý½±£¡

2023-07-14 0

2023Äê7ÔÂ8ÈÕ£¬£¬£¬£¬£¬ÒÔ¡°³ÇÆðÍòÏó ÔËÆø¹²Éú¡±ÎªÖ÷ÌâµÄ2023ÌìÏÂÈ˹¤ÖÇÄÜ´ó»á¡¤¹ú¼ÊAI¶¼»áÂÛ̳¾ÙÐС£¡£¡£¡£¡£ ¡£

ͼƬ2.png

¡°»ùÓÚÓ°ÏñÔÆµÄ·Î°©Ôçɸ¡±×î¼Ñ°¸Àý½±

ͼƬ3.png

ÓÉÕã½­ÐÇ¿ÕÓéÀÖ-ÃÎÏëÕÕ½øÏÖʵ,ŬÁ¦³É¾ÍδÀ´!ÖÇ»ÛÒ½ÁƿƼ¼¹«Ë¾×ÔÖ÷Ñз¢µÄ¡°»ùÓÚÓ°ÏñÔÆµÄ·Î°©Ôçɸ¡±Êý¾Ý²úÆ·ÀÖ³ÉÈëÑ¡ÉϺ£Éç¿ÆÔºÐÅÏ¢Ñо¿ËùÔÚ2023ÌìÏÂÈ˹¤ÖÇÄÜ´ó»áÉÏÐû²¼¡¶È«Çò¿ª·ÅÊý¾Ý¼ÛֵТ˳ÓÅÒì°¸Àý¼¯£¨2019-2023£©¡·ÈÙ»ñ×î¼Ñ°¸Àý½±£¡

ͼƬ4.png

¡¶È«Çò¿ª·ÅÊý¾Ý¼ÛֵТ˳ÓÅÒì°¸Àý¼¯£¨2019-2023£©¡·¼¯Ö¼ÔÚÃæÏòÈ«ÇòÍøÂç½üÎåÄêʹÓÿª·ÅÊý¾Ý¿ª·¢ÉÏÏߵĶÔÃñÉú¡¢¾­¼Ã¡¢ÖÎÀíµÈ¾ßÓÐÒ»¶¨¼ÛֵТ˳£¬£¬£¬£¬£¬ÇÒ¼æ¾ßÁ¢ÒìÐÔ¡¢Ð§¹ûÐÔ¡¢µä·¶ÐԺͿÉÍÆ¹ãÐÔµÄÕæÊµ°¸Àý¡£¡£¡£¡£¡£ ¡£

ͼƬ5.png

¡°»ùÓÚÓ°ÏñÔÆµÄ·Î°©Ôçɸ¡±²úÆ·ÏÈÈÝ

Æóҵ΢ÐŽØÍ¼_2d0ccad7-9cd3-4ee5-9408-15254a74e5f2.png

¸¨ÖúÕï¶Ï£¬£¬£¬£¬£¬Ìá¸ßЧÂÊ


2020Ä꣬£¬£¬£¬£¬ÐÇ¿ÕÓéÀÖ-ÃÎÏëÕÕ½øÏÖʵ,ŬÁ¦³É¾ÍδÀ´!ʹÓÃÕã½­Ê¡ÎÀ½¨Î¯¿ª·ÅÊý¾Ý¿ª·¢ÉÏÏß¡°»ùÓÚÓ°ÏñÔÆµÄ·Î°©Ôçɸ¡±Êý¾Ý²úÆ·¡£¡£¡£¡£¡£ ¡£

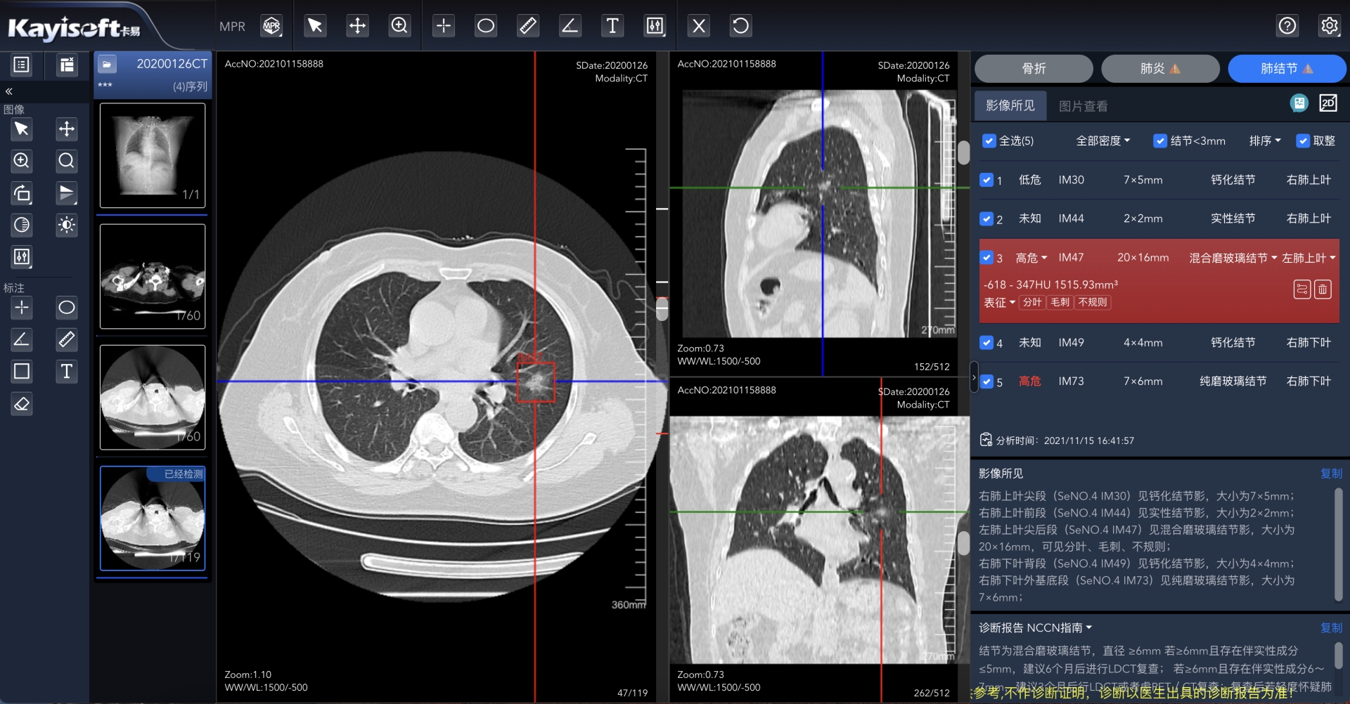
¸Ã²úƷͨ¹ýÎÂÖÝÊÐҽѧӰÏñÔÆÆ½Ì¨Íê³ÉÇøÓòÒ½ÁÆÓ°ÏñÊý¾ÝÔÆ»¯ÖÎÀíÊý¾ÝͳһÊÕÂÞ£¬£¬£¬£¬£¬ÊµÏÖÒÔÊý¾ÝΪ»ù´¡£¬£¬£¬£¬£¬ÍŽáAI ÆÊÎöЧÀͷνá½ÚÖÇÄܱê×¢£¬£¬£¬£¬£¬ÔÚ¶Ìʱ¼äÄÚÆÊÎöÍê³É²¢ÌìÉú¡°AI ½á¹¹»¯±¨¸æ¡±ºÍ¡°Ö¸Äϲο¼¡±À´Ð­ÖúÕï¶ÏÒ½Éú²Î¿¼£¬£¬£¬£¬£¬Ìá¸ßÊÂÇéЧÂÊ¡£¡£¡£¡£¡£ ¡£×èÖ¹ÏÖÔÚ£¬£¬£¬£¬£¬µ÷ÔÄÊý¾ÝÁ¿Áè¼Ý242ÍòÀý¡£¡£¡£¡£¡£ ¡£

ͼƬ10.png


½ÚԼͶÈ룬£¬£¬£¬£¬¿É¸´ÖÆÍƹã


¸Ã²úƷͳ³ïÈ«ÊÐÒ½ÁÆÐÅÏ¢»¯½¨É裬£¬£¬£¬£¬ÓÐÓýÚÔ¼ÎÀÉú×ÊÔ´£¬£¬£¬£¬£¬½ÚÔ¼²ÆÎñͶÈ룬£¬£¬£¬£¬ÊµÏַνá½Ú AI ¼à²âÔ¤¾¯£¬£¬£¬£¬£¬ÓÐÓýÚÔ¼ÈËÁ¦ÎïÁ¦Í¶È룬£¬£¬£¬£¬´´Á¢ÎÂÖÝÒ½ÁÆÐÅÏ¢»¯Ä£Ê½£¬£¬£¬£¬£¬ÌṩӪҵӦÓòο¼£¬£¬£¬£¬£¬ÐγÉÊг¡¸´ÖÆ¡£¡£¡£¡£¡£ ¡£


¡°»ùÓÚÓ°ÏñÔÆµÄ·Î°©Ôçɸ¡±Ïà¹Ø»ñ½±

1. ¡°»ùÓÚÇøÓòÓ°ÏñÔÆµÄCT·Î½á½ÚAIÆÊÎöЧÀÍ¡±ÈÙ»ñ2023CHITECÊý×ÖÒ½ÁÆ¿µ½¡Á¢ÒìЧÀͰ¸Àý


2. 2021Äê¡¶»ùÓÚÇøÓòÓ°ÏñÔÆµÄCT·Î½á½ÚAIÆÊÎöЧÀÍ¡·ÈëÑ¡Õã½­Ê¡Êý×Ö¾­¼Ã¡°ÎåС±ÓÅÒì°¸Àý

3. 2021Äê¡¶»ùÓÚÈ«ÊÐÇøÓòÓ°ÏñÔÆ·Î½á½ÚAIÆÊÎöЧÀÍ¡·»ñÆÀÕã½­¾­ÐÅÌüÈ˹¤ÖÇÄܵ䷶ӦÓó¡¾°

4. ¡¶»ùÓÚÓ°ÏñÔÆµÄ·Î°©Ôçɸ¡·ÏîÄ¿ÈÙ»ñ2020ÎÂÖÝÊÐÊý¾ÝÁ¢ÒìÓ¦ÓôóÈüÒ»µÈ½±

5.  2020Äê10Ô¡¶»ùÓÚÓ°ÏñÔÆµÄ·Î°©Ôçɸ¡·ÏîÄ¿ÈÙ»ñÕã½­Ê¡Ê×½ìÊý¾ÝÁ¢ÒìÓ¦ÓôóÈü¡¶×î¼Ñ´´Òâ½±¡·

6. 2020Äê10ÔÂÕã½­Ê¡Õþ¸®°ì¹«Ìü·¢ÎÄ»ùÓÚÓ°ÏñÔÆÈ˹¤ÖÇÄÜÆÊÎöЧÀÍÈ·¶¨ÎÂÖÝÊÐΪΨһÊԵ㶼»á

7. ¡¶»ùÓÚÓ°ÏñÔÆµÄ·Î°©Ôçɸ¡·ÏîÄ¿ÈÙ»ñ¡°Õã½­Êý¾Ý¿ª·ÅÁ¢ÒìÓ¦ÓôóÈü¡±Õã½­Ê¡×ܾöÈü¶þµÈ½±



ÍùÆÚÍÆ¼ö:






ÖØ°õÀ´Ï®£¡Õã½­ÐÇ¿ÕÓéÀÖ-ÃÎÏëÕÕ½øÏÖʵ,ŬÁ¦³É¾ÍδÀ´!ÎÞ¼«ÔÆÓ°Ïñƽ̨ÀÖ³ÉÈëÑ¡¹¤ÐŲ¿¡°2022ÄêÐÅÏ¢ÊÖÒÕÓ¦ÓÃÁ¢Òì½â¾ö¼Æ»®¡±


Õã½­ÐÇ¿ÕÓéÀÖ-ÃÎÏëÕÕ½øÏÖʵ,ŬÁ¦³É¾ÍδÀ´!HIDOS AI PACS²úÆ·ÈÙ»ñº£ÄÚÊ׸öÐÅ´´¹ú²ú»¯ÊÊÅä¼°Ò½ÁÆÆ÷е¶þÀà×¢²áÈÏÖ¤£¡


2023δÀ´Ò½ÁÆ100Ç¿°ñµ¥Ðû²¼ | Õã½­ÐÇ¿ÕÓéÀÖ-ÃÎÏëÕÕ½øÏÖʵ,ŬÁ¦³É¾ÍδÀ´!ÔÙ¶ÈÈÙÒ«µÇ°ñ£¡




To Top
¡¾ÍøÕ¾µØÍ¼¡¿¡¾sitemap¡¿