

2022Äê3ÔÂ30ÈÕ£¬£¬£¬£¬£¬£¬Õã½Ê¡¾¼ÃºÍÐÅÏ¢»¯ÌüÐû²¼2021ÄêÐÂÒ»´úÈ˹¤ÖÇÄܵ䷶ӦÓó¡¾°ºÍÓÅÒì½â¾ö¼Æ»®£¨²úÆ·£©Ãûµ¥£¬£¬£¬£¬£¬£¬ÐÇ¿ÕÓéÀÖ-ÃÎÏëÕÕ½øÏÖʵ,ŬÁ¦³É¾ÍδÀ´!¡¢ÖйúµçÐÅÎÂÖÝ·Ö¹«Ë¾¡¢ÎÂÖÝÊÐÎÀÉú¿µ½¡ÐÅÏ¢ÖÐÐÄÍŽáÉ걨µÄ¡°»ùÓÚÈ«ÊÐÇøÓòÓ°ÏñÔÆ·Î½á½ÚAIÆÊÎöЧÀÍ¡±»ñÆÀ2021Äê¶ÈÕã½Ê¡È˹¤ÖÇÄܵ䷶ӦÓó¡¾°¡£¡£¡£¡£¡£¡£
²úÆ·ÏÈÈÝ
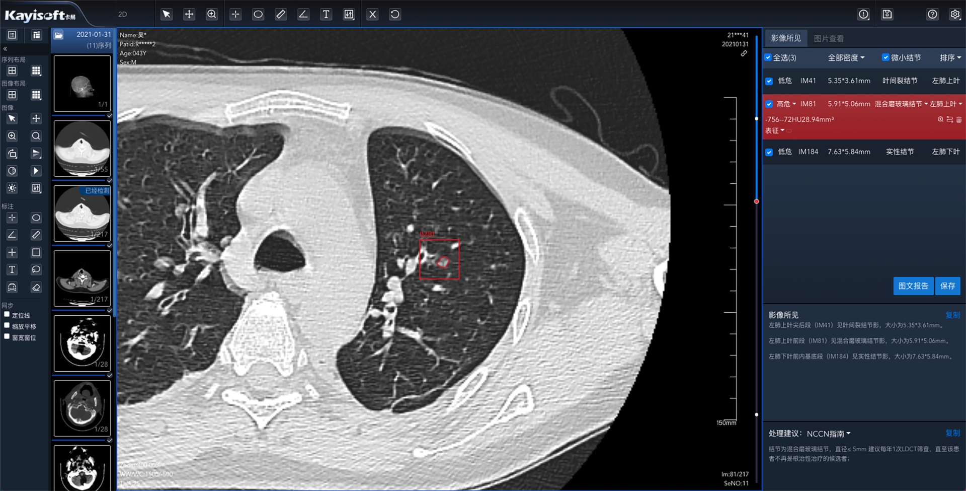
»ùÓÚÈ«ÊÐÇøÓòÓ°ÏñÔÆ·Î½á½ÚAIÆÊÎöЧÀÍÊÇͨ¹ýÎÂÖÝÊÐҽѧӰÏñÔÆÆ½Ì¨Íê³ÉÇøÓòÒ½ÁÆÓ°ÏñÊý¾ÝÔÆ»¯ÖÎÀíÊý¾ÝͳһÊÕÂÞ£¬£¬£¬£¬£¬£¬ÊµÏÖÒÔÊý¾ÝΪ»ù´¡£¡£¡£¡£¡£¡£¬£¬£¬£¬£¬£¬ÍŽáAIÆÊÎöЧÀͷνá½ÚÖÇÄܱê×¢£¬£¬£¬£¬£¬£¬ÔÚ¶Ìʱ¼äÄÚÆÊÎöÍê³É²¢ÌìÉú¡°AI½á¹¹»¯±¨¸æ¡±ºÍ¡°Ö¸Äϲο¼¡±À´ÐÖúÕï¶ÏÒ½Éú²Î¿¼£¬£¬£¬£¬£¬£¬Ìá¸ßÊÂÇéЧÂÊ¡£¡£¡£¡£¡£¡£



AIÆÊÎöЧÀÍ+Ó°ÏñÔÆµÄÓÅÊÆ×éºÏ£¬£¬£¬£¬£¬£¬Äܹ»Í³³ïЧÀÍÆ÷×ÊÔ´£¬£¬£¬£¬£¬£¬Í³Ò»Î¬»¤±ãÓÚÖÎÀí£»£»£»£»£»×ÊÔ´·ÖÅÉÔ½·¢Ôȳƣ¬£¬£¬£¬£¬£¬Ê¹µÃϲãÒ½ÔºÒ²Äܾ߱¸´óÐÍÈý¼×Ò½ÔºµÄÕï¶ÏÄÜÁ¦£»£»£»£»£»¸÷Ò½Ôº¿Éͨ¹ý»ùÓÚÓ°ÏñÔÆ·Î½á½ÚAIÆÊÎöЧÀÍʵʱµ÷ÔÄÓ°Ïñ£¬£¬£¬£¬£¬£¬Õë¶ÔÎÂÖÝÊйæÄ£Äڵķνá½Ú²¡Àý¾ÙÐÐÁ¿»¯Ö¸±êµÄͳ¼ÆÆÊÎö¡£¡£¡£¡£¡£¡£
±¾²úÆ·ÔÚ¸¨ÖúҽʦÁÙ´²Õï¶Ï¡¢Ìå¼ìɸ²é¡¢¸¨Öú¿ÆÑеÈÖî¶àÁìÓò¶¼ÓÐ×ÅÏ൱´óµÄÓ¦ÓüÛÖµºÍÉú³¤Ô¶¾°£¬£¬£¬£¬£¬£¬ÓÐÀûÓÚÇøÓòÖÎÀíÊÖ¶ÎÏÖ´ú»¯£¬£¬£¬£¬£¬£¬ÎªÎ´À´AIµÄ¶¯Ì¬¸ú×ٺʹóÊý¾ÝÆÊÎöÌṩǿÓÐÁ¦µÄ»ù´¡Ö§³Ö¡£¡£¡£¡£¡£¡£
¹ØÓÚÐÇ¿ÕÓéÀÖ-ÃÎÏëÕÕ½øÏÖʵ,Æð¾¢³É¼¨Î´À´!
ÆóÒµÏÈÈÝ
ÐÇ¿ÕÓéÀÖ-ÃÎÏëÕÕ½øÏÖʵ,ŬÁ¦³É¾ÍδÀ´!½¨ÉèÓÚ2005Ä꣬£¬£¬£¬£¬£¬ÊÇÒ»¼Òרҵ´ÓÊÂÔºÄÚÓ°Ïñ¡¢Ó°Ïñ¼ì²éÁÙ´²·Öʱ¶ÎÔ¤Ô¼¡¢ÇøÓòÓ°Ïñ¡¢Ò½¹²ÌåÓ°Ïñ¡¢Ô¶³Ì»áÕï¡¢ÔÆÓ°Ïñ¡¢Ó°Ïñ×Éѯ¡¢Ô¶³Ì³¬ÉùÐÅϢϵͳ¡¢ÒÔ¼°´óÊý¾ÝÓëÈ˹¤ÖÇÄÜ¡¢Ó°ÏñÖÐ̨µÄ¹ú¼Ò¼¶¸ßÐÂÊÖÒÕÆóÒµ¡£¡£¡£¡£¡£¡£